ANAMNESE
/ KLINIK:
Patient mit Z.n. primärer Radio-Chemotherapie eines Plattenepithelkarzinoms
im Bereich des rechten Oropharynx.
BEFUND:
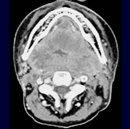
Im
CT durch den Mundboden kommt nach Kontrastmittelgabe die gesamte Region als kontrastmittelaufnehmende
Raumforderung zur Darstellung. Eine eigentliches Lumen des Hypopharynx
ist nicht mehr abgrenzbar.
DIAGNOSE:
Plattenepithel-Karzinom
Rezidiv
DIFFERENTIALDIAGNOSE:
primäres
Platenepithel-Karzinom




