ANAMNESE
/ KLINIK:
Patient mit zunehmenden Schluckbeschwerden und Globusgefühl. Zunehmendes
Druckgefühl im Bereich der Zunge und des Mundbodens.
BEFUND:
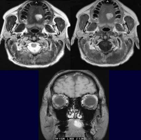
In
der T2-Wichtung (linkes Bild oben) kommt im Mundboden links eine signalreiche
Raumforderung zur Darstellung. In T1-Wichtung vor Kontrastmittelgabe
ohne Fettunterdrückung (rechtes Bild oben) ist die Raumforderung
ebenfalls signalreich.
Nach Kontrastmittelgabe in der T1-Wichtung im coronaren Schnitt (unteres
Bild) bleibt die Raumforderung signalreich.
DIAGNOSE:
Liposarkom
DIFFERENTIALDIAGNOSE:
Lipom
Informationen
aus dem Internet:
1) Amersham Health
2) Medecoinfo




