ANAMNESE
/ KLINIK:
Patient, 56 Jahre alt, mit tastbarer Raumforderung im Bereich des Oberkiefers.
Basalzellnaevus mit auffälligen Hautveränderungen.
BEFUND:
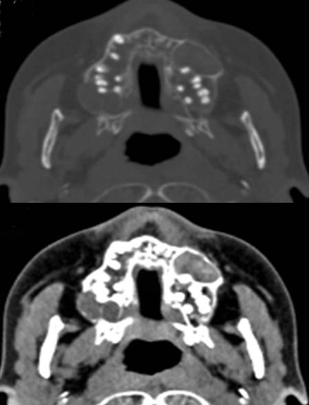
Im
Knochenfenster des CT (oberes Bild) kommen im Oberkiefer beidseits zystische
Raumforderungen zur Darstellung.
Im Weichteilfenster (unteres Bild) kommen diese Raumforderungen zum
Teil hyperdens, zum Teil hypodens zur Darstellung.
DIAGNOSE:
Gorlin-Goltz-Syndrom
DIFFERENTIALDIAGNOSE:
Zysten
anderer Genese
Informationen
aus dem Internet:
1) Amersham Health
2) Medecoinfo




