
Basedow Struma
= diffuse hyperthyreote Struma
= Struma basedowiana
- Struma bei M. Basedow = Autoimmunerkrankung
mit Autoantikörper die TSH-Rezeptoren
stimulieren können
(durch TRAK = TSH - Rezeptor - AK)
=> dauerhafte Stimulation der TSH- Rezeptoren
=> dauerhafter Wachstums- und Sekretionsreiz
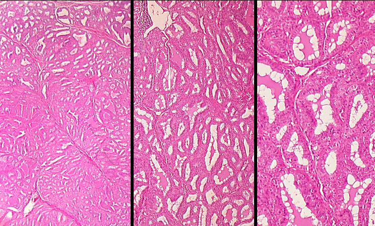
Histologisch :
· Hyperplasie der Follikelepithelzellen !!!
· große Resorptionsvakuolen als
Zeichen
der Hyperaktivität
· schmale zentrale Follikellichtungen
mit
wenig Kolloid
· häufig Lymphozyteninfiltrate im Interstitium
Klinik des M. Basedow: Merseburger Trias:
- Struma
- Exophthalmus
- Tachykardie
- Kolloid
in kleinen kolloidarmen Follikeln
- hyperplastische
Thyreozyten
- große
Resorptionsvakuolen
- "Sanderson
Polster" = papillenartig in das Lumen einwachsende hyperplastische
Thyreozyten



