ANAMNESE / KLINIK:
Patient mit starken Schmerzen im Bereich der Oberkieferzähne, ausstrahlend auf die Kieferhöhle, seit mehreren Tagen bestehend. Beginnende Wangenschwellung links.



BEFUND
:
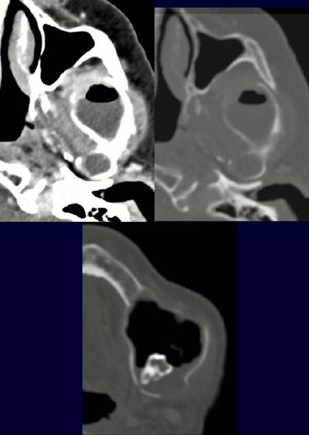
Im CT des Gesichtschädels kommt im Weichteilfenster nach Kontrastmittelgabe (linkes Bild oben) auf Höhe des Kieferwinkels eine Raumforderung zur Darstellung, teilweise mit und Flüssigkeit, teilweise mit Luft gefüllt. Zusätzlich kommt ventral eine Weichteilkomponente zur Darstellung.
Im Knochenfenster (rechtes Bild oben) ist die ventrale knöcherne Begrenzung teilweise nicht mehr nachweisbar.
Im Knochenfenster weiter kaudal (unteres Bild) kommt ein retinierter Zahn zur Darstellung.



DIAGNOSE:
Infizierte Retentionszyste am Oberkiefer

DIFFERENTIALDIAGNOSE:
Zysten anderer Genese



Informationen aus dem Internet:

1) Amersham Health
2) Medecoinfo