ANAMNESE
/ KLINIK:
Patient, 28 Jahre alt, mit tastbarer, schmerzloser Schwellung am Gaumen und
Nasenatmungs-behinderung.
BEFUND:
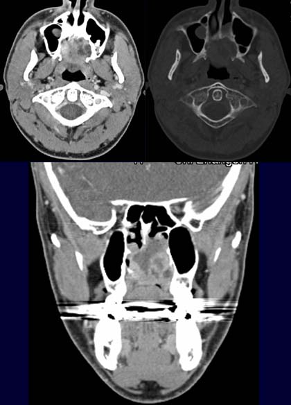
Im
axialen CT-Schnitt, nach KM-Gabe (linkes oberes Bild), kommt im Bereich des
Gaumens eine inhomogen KM-aufnehmende Raumforderung zur
Darstellung. Im Knochenfenster (rechtes oberes Bild) kommt die knöcherne
Destruktion des Gaumens zur Darstellung. Nebenbefundlich kommt
eine polypöse
Schleimhautschwellung des Sinus maxillaris rechts zur Darstellung.
Im koronaren CT-Schnitt (unteres Bild) kommt die kraniokaudale Darstellung
der Raumforderung gut
zur Darstellung, man sieht wie die Raumforderung sich zwischen Mundhöhle
und Nasenhaupthöhle ausbreitet.
DIAGNOSE:
Riesenzellgranulom
DIFFERENTIALDIAGNOSE:
Pleomorphes
Adenom, Oropharynx-Ca
Informationen
aus dem Internet:
1) Medecoinfo




