



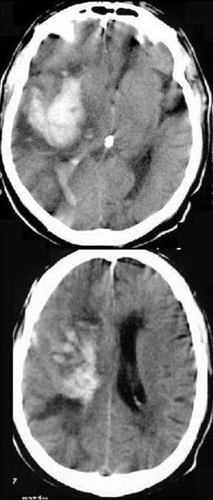
ANAMNESE
/ KLINIK:
71-jähriger Patient mit bekanntem Hypertonus mit plötzlich heftigen
Kopfschmerzen und Halbseitenlähmung.
Patient wird komatös eingeliefert.
BEFUND:
CCT nativ (ohne Kontrastmittel).
Hyperdense
(60-80HE) Raumforderung rechts im Bereich der Capsula interna und der
Basalganglien. Mittellinienverlagerung nach
links. Asymmetrische
Darstellung des Ventrikelsystems (rechts komprimiert, links gestaut).
Hyperdenser
Verhalt im rechten und linken Hinterhorn. Verstrichene
Gyri und Sulci rechts (siehe Seitenvergleich).
DIAGNOSE:
Hypertensive
Hirnmassenblutung rechts mit konsekutiver
raumfordernder Wirkung nach links
Kompression des rechten Ventrikels und Stauung des linken Ventrikels.
Einblutung ins Ventrikelsystem
Hirnödem
DIFFERENTIALDIAGNOSE:
Eingeblutete
Hirntumoren (Glioblastom, Metastasen)
Hämorrhagischer Infarkt
Cerebraler Abszess
Informationen aus dem Internet:
1) Uni Harvard
2) Neuroscript




