



ANAMNESE
/ KLINIK:
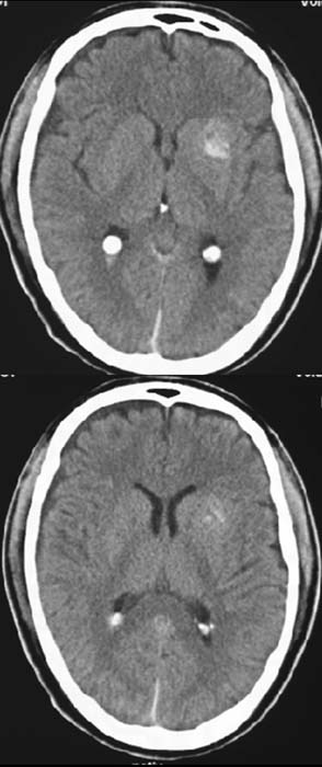
67-jähriger Patient mit bekanntem Hypertonus mit plötzlich heftigen
Kopfschmerzen und Halbseitenlähmung.
Patient wird komatös eingeliefert.
BEFUND:
CCT nativ (ohne Kontrastmittel).
Hyperdense
(60-80HE) Raumforderung links im Bereich des Linsenkerns.
DIAGNOSE:
Kleine,
typische Stammganglienblutung links
DIFFERENTIALDIAGNOSE:
Hirntumoren
(Glioblastom, Metastasen)
Hämorrhagischer Infarkt
Informationen aus dem Internet:




