



ANAMNESE
/ KLINIK:
71-jähriger Patient mit bekanntem Hypertonus mit plötzlich heftigen
Kopfschmerzen und Gleichgewichtsstörungen.
Patient wird komatös eingeliefert.
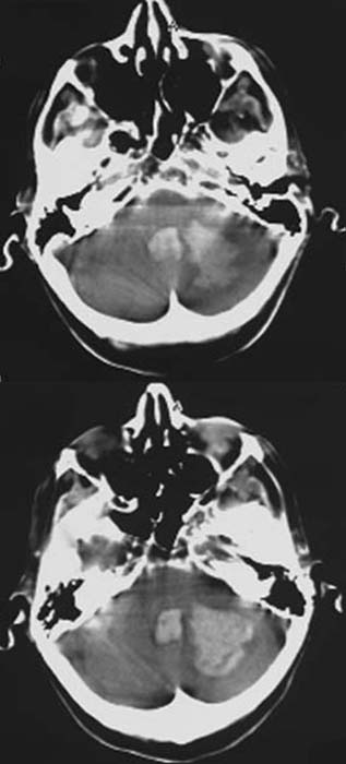
BEFUND:
CCT nativ (ohne Kontrastmittel).
Hyperdense
(60-80HE) Raumforderung in der linken Kleinhirnhemisphäre mit perifokaler
Hyperdensivität.
Hypodenser
Verhalt im 4. Ventrikel.
Verstrichene
Gyri und Sulci der linken Kleinhirnhemisphäre.
DIAGNOSE:
Hypertensive
Hirnmassenblutung der Kleinhirnhemisphere links mit perifokalem
Ödem.
Einblutung in
den 4. Ventrikel
Hirnödem v.a. der linken Kleinhirntonsille
DIFFERENTIALDIAGNOSE:
Hirntumoren
(Glioblastom, Metastasen)
Hämorrhagischer Infarkt
Cerebraler Abszess




