ANAMNESE / KLINIK:
61-jähriger Diabetiker mit Visusverlust auf dem linken Auge. Patient sieht auf dem linken Auge verschwommen
.


BEFUND
:
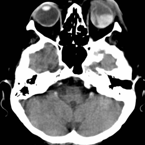
CCT nativ (ohne Kontrastmittel). Im Seitenvergleich
hyperdenser Glaskörper links.


DIAGNOSE:
Glaskörperblutung


DIFFERENTIALDIAGNOSE:
Tumor

Informationen aus dem Internet:

1) Gesundheit.de