



ANAMNESE
/ KLINIK:
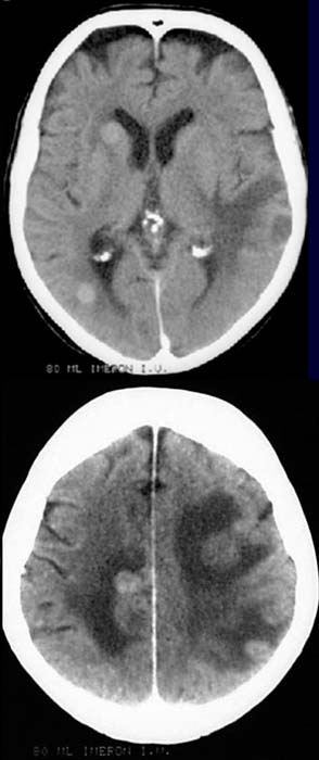
54 jähriger Patient mit bekanntem Bronchialkarzinom. Starke Kopfschmerzen.
BEFUND:
CCT mit Kontrastmittel.
Multiple
hyperdense Kontrastmittel-aufnehmende Raumforderungen temporal
links, frontal rechts, Stammganglien rechts, occipital rechts und hochparietal
beidseits. Hypodense
Areale um die Raumforderungen.
DIAGNOSE:
Multiple
Hirnmetastasen bei bekanntem Bronchialkarzinom mit perifokalen Ödemen.
Informationen aus dem Internet:
1) Uni Harvard
2) Neuropat




