



ANAMNESE
/ KLINIK:
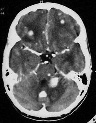
44 jähriger Patientin mit bekanntem malignem Melanom. Patient klagt über
starke Kopfschmerzen.
BEFUND:
Multiple
hyperdense KM-aufnehmende Raumforderungen bifrontal und in der linken
Kleinhirnhemisphäre. Hypodense
Areale um die Raumforderungen.
DIAGNOSE:
Multiple
Hirnmetastasen bei bekanntem malignen Melanom mit perifokalen Ödemen.
DIFFERENTIALDIAGNOSE:
Metastasen
anderer Tumoren
Hirntumoren
(Glioblastom)
multiple Abszesse
Informationen
aus dem Internet:
1) AWMF
2) Chorus
3) Medicine worldwide




