



ANAMNESE
/ KLINIK:
Patient, 67 Jahre alt, mit Halbseitenlähmung rechtsund kompletter
Aphasie.
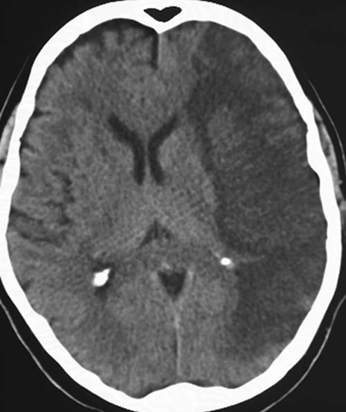
BEFUND:
CCT nativ (ohne Kontrastmittel).
Hypodense
Darstellung des Mediastromgebietes links mit Ausnahme der Stammganglien.
Fehlende
Mark-Rinden-Differenzierbarkeit der
Rindenmarkgrenze links.
Fehlende Abgrenzbarkeit der äußeren Liquorräume.
DIAGNOSE:
Subakuter
raumfordernd wirkender Mediainfarkt links (48-96h). Da die Stammganglien
intakt sind, liegt der Mediaverschluss distal nach Abgang der lenticulostriären Äste.
Informationen aus dem Internet:
1) Uni Harvard
2) Neuropat
3) Klinik Westend




