



ANAMNESE
/ KLINIK:
Patient, 67 Jahre alt, mit Halbseitenlähmung rechtsund motorischer
Aphasie.
BEFUND:
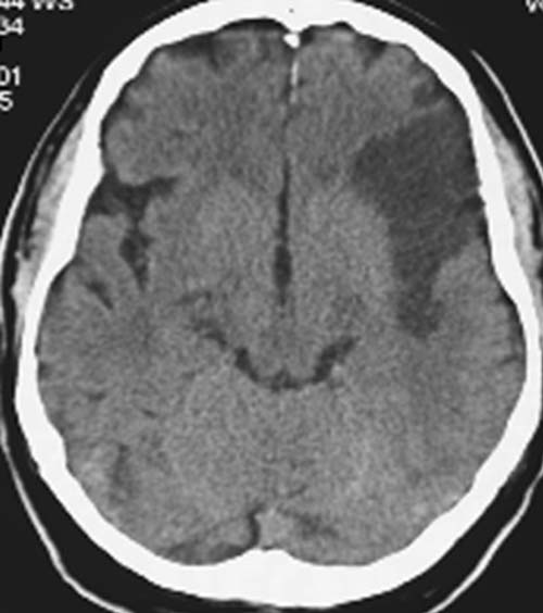
CCT nativ (ohne Kontrastmittel).
Hypodense
Darstellung des vorderen Mediastromgebietes links. Rindenmarkgrenze
links nicht mehr erkennbar.
DIAGNOSE:
Subakuter
Mediainfarkt links (48-96h). Da die Stammganglien und ein Teil des
Mediastromgebietes intakt sind, liegt der Mediaverschluss distal nach Abgang
der lenticulostriären Äste im Bereich der Mediatrifurkation.
Informationen aus dem Internet:
1) Uni Harvard
2) Neuropat
3) Klinik Westend




