



ANAMNESE
/ KLINIK:
Ein 40-jähriger Patient klagt über plötzlich unerwartet auftretenden
Kopfschmerz wie noch nie.
Patient
wird zunehmend somnolenter.
BEFUND:
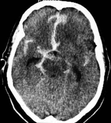
CCT
nativ (d.h. ohne Kontrastmittel).
Hyperdense (60-80HE) Strukturen im
Subarachnoidalraum, hyperdense (60-80HE) Strukturen in
den Hirnfurchen und verstrichene
Gyri und Sulci.
DIAGNOSE:
Akute
Subarachnoidalblutung mit Blutnachweis im Bereich der Hirnbasis und der Sylvischen
Furche beidseits.
Hirnödem.
Ursache meist eine Blutung aus einem Hirnbasisaneurysma.
DIFFERENTIALDIAGNOSE:
Akute/chronische
Meningitis
Tuberkulöse Meningitis
Meningiosis carcinomatosa
Informationen
aus dem Internet:
1) Uni Düsseldorf
2) Gesundheit.de
3) Chorus




