



ANAMNESE
/ KLINIK:
Ein 55-jähriger Patient klagt während des Geschlechtsverkehrs plötzlich über
heftige Kopfschmerzen. Patient wird komatös in die Klinik eingeliefert.
BEFUND:
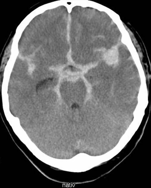
CCT nativ (ohne Kontrastmittel).
Hyperdense
(60-80 HE), verbreitete Darstellung des Subarachnoidalraumes.
Hyperdense (60-80 HE) Strukturen in den Hirnfurchen.
Schwellungszustand mit verstrichenen
Gyri und Sulci. Rundliche Hyperdensität in
der Sylvischen Fissur.
DIAGNOSE:
Akute Subarachnoidalblutung
mit Blutnachweis in
den basalen Zisternen und der Sylvischen Fissur beidseits.
Hirnödem.
V.a. Ruptur
eines A. cerebri media Aneurysma links
in der Sylvischen Furche.
Informationen aus dem Internet:
1) AWMF
2) MRI-Library




