ANAMNESE / KLINIK:
Patient, 60 Jahre alt, mit seit Jahren andauernder Halbseitenlähmung rechts.



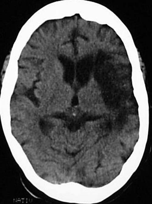
BEFUND
:
CCT nativ (ohne Kontrastmittel).
Hypodense Darstellung des Mediastromgebietes li. und Substanzdefekt. E vacuo Erweiterung des linken Seitenventrikels.


DIAGNOSE:
Alter Mediainfarkt links (> 3 Monate).

Informationen aus dem Internet:

1) Neuropat
2) Uni Marburg
3) Hirninfarkt.de