



ANAMNESE
/ KLINIK:
30jähriger Patient mit akuten Kopfschmerzen eingeliefert.
BEFUND:
CCT nativ (ohne Kontrastmittel).
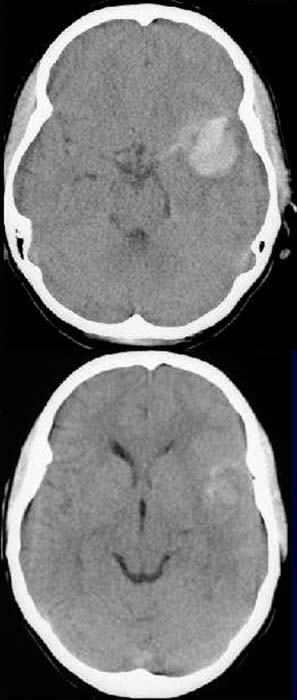
Hyperdense
Darstellung der Sulci
links temporal. Hyperdense Raumforderung in der sylvischen
Furche links. Hyperdense intracerebrale
Raumforderung links. Asymmetrische
Darstellung des Temporallappens links. Kompression des
linken Seitenventrikels.
DIAGNOSE:
V.a.
rupturiertes A. cerebri media Aneurysma links mit Subarachnoidalblutung
und intracerebraler Blutung links temporal mit
raumfordernder Wirkung.
DIFFERENTIALDIAGNOSE:
Tumor
Informationen aus dem Internet:




