



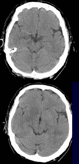
ANAMNESE
/ KLINIK:
Patient, 57 Jahre alt, mit Halbseitenlähmung links.
BEFUND:
CCT nativ (ohne Kontrastmittel).
Hyperdense
Darstellung der A.
cerebri media. Hypodense Darstellung und verminderte Abgrenzbarkeit der Stammganglien
rechts. Leichte
Konturunschärfe der Rindenmarkgrenze rechtsim Mediastromgebiet.
DIAGNOSE:
Hyperdenses
Media-Zeichen rechts als Hinweis aufeinen frischen
Thrombus.
Frischer Mediainfarkt rechts (<12h) mit leichter ödematöser
Schwellung.




