ANAMNESE / KLINIK:
Patient, 58 Jahre alt mit Halbseitenlähmung links.



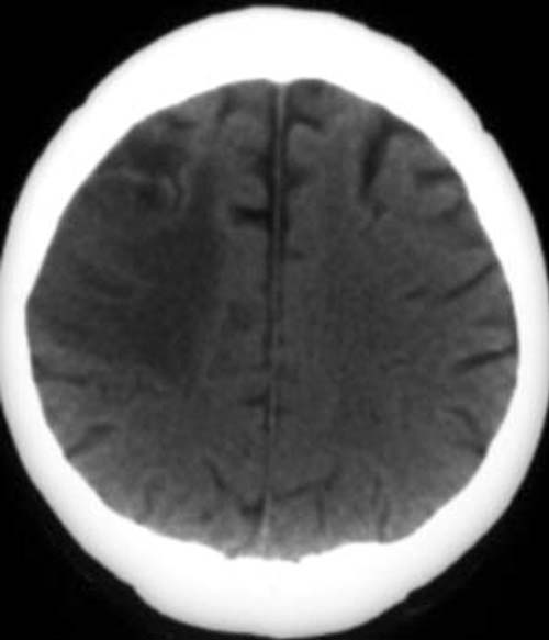
BEFUND
:
CCT nativ (ohne Kontrastmittel).
Hypodenses Areal hochfronto-parietal rechts. Konturunschärfe der Rindenmarkgrenze rechts.


DIAGNOSE:
Nicht ganz frischer Mediateilinfarkt rechts (4-7 Tage).

Informationen aus dem Internet:

1) Neuropat
2) Uni Marburg
3) Hirninfarkt.de