ANAMNESE / KLINIK:
Patient 64 Jahre alt, mit Halbseitenlähmung rechts.



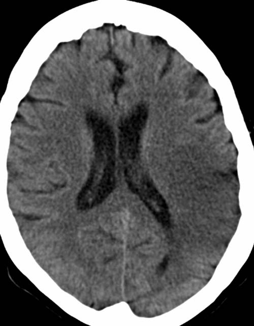
BEFUND
:
CCT nativ (ohne Kontrastmittel).
Hypodense Darstellung des hinteren Mediastromgebietes links. Konturunschärfe der Rindenmarkgrenze links.


DIAGNOSE:
Subakuter Mediateilinfarkt links (12-48h).


Informationen aus dem Internet:

1) Neuropat
2) Uni Marburg
3) Hirninfarkt.de