ANAMNESE / KLINIK:
Patient, 68 Jahre alt, mit mehrere TIAs in den letzten Jahren
.


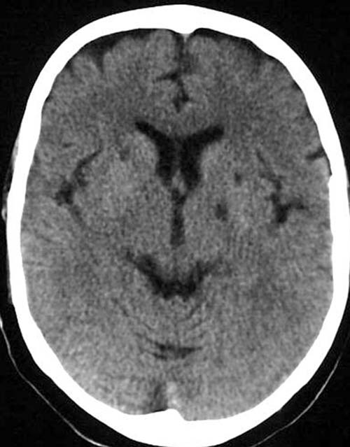
BEFUND
:
CCT nativ (ohne Kontrastmittel).
Hypodense (liquorisodense) Areale in den Stammganglien.


DIAGNOSE:
Alte lakunäre Infarkte (> 3 Monate).

Informationen aus dem Internet:

1) Neuropat
2) Hirninfarkt.de
3) PathoPic