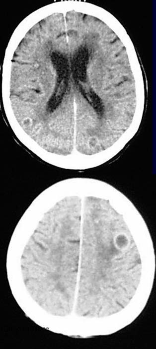
ANAMNESE / KLINIK:
Patient, 28 Jahre alt, HIV-positiv. Der Patient hat eine Katze zuhause
.


BEFUND
:
CCT mit Kontrastmittel.
Multiple beidseitige rundliche hypodense Areale. Ringförmiges Kontrastmittelenhancement.


DIAGNOSE:
Toxoplasmose


DIFFERENTIALDIAGNOSE:
Andere Abszesse, Metastasen, Glioblastom

Informationen aus dem Internet:

1) Neurorad
2) Medicine worldwide
3) AHC-Consilium