



ANAMNESE
/ KLINIK:
Ein 75-jähriger Patient, kein Unfallereignis erinnerlich. Rasch zunehmende
Demenz und Halbseitensymptomatik rechts.
BEFUND:
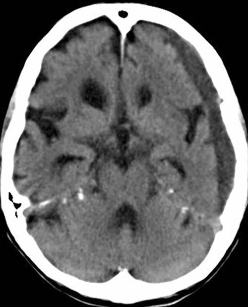
CCT nativ (d.h. ohne Kontrastmittel)
Zwischen Kalotte und Hirnoberfläche sichelförmige hypodense (20-40HE) Raumforderung links.
Deutlich erweiterte
innere und äußere Liquorräume außerhalb der sichelförmigen
Raumforderung.
DIAGNOSE:
Chronisches
Subduralhämatom (SDH) links
Nebenbefundlich: Hirnatrophie.
DIFFERENTIALDIAGNOSE:
Hygrom
Subdurales Empyem
Informationen aus dem Internet:
1) ACR Learning file
2) MRI-Library




