



ANAMNESE
/ KLINIK:
34 jähriger Patient wird mit Fieber eingeliefert. Homonyme Hemianopsie
nach links.
BEFUND:
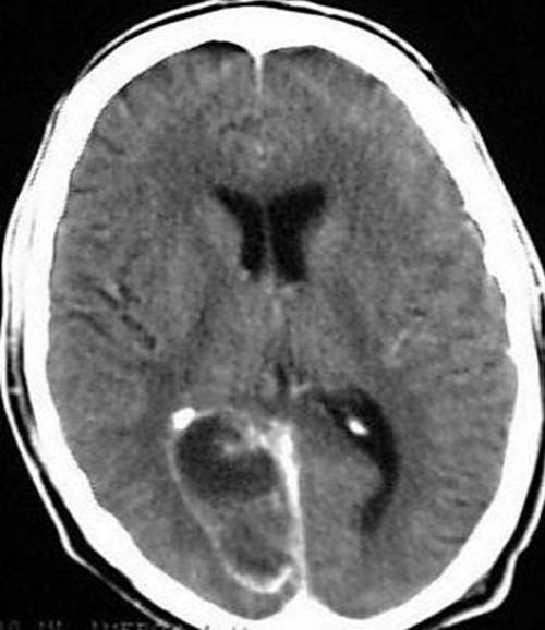
CCT mit Kontrastmittel.
Hypodense
Raumforderung occipital rechts. Kontrastmittel-aufnehmende Ringstruktur mit
diskreten hypodensen
Arealen um die Ringstruktur. Asymmetrie der
Hinterhörner.
DIAGNOSE:
Hirnabszeß mit
deutlich Kontrastmittel- aufnehmender
Abszeßmembran und wenig perifokalem Ödem mit konsekutiver
Kompression des rechten Hinterhorns.
DIFFERENTIALDIAGNOSE:
Hirntumoren
(Glioblastom, Metastasen).
Posterior-Infarkt rechts mit Schrankenstörung.
Blutung in Resorption.
Granulomatöse Entzündungen.
Informationen aus dem Internet:
1) Neuropat
2) Neurorad
3) PathoPic
4) Medicine worldwide




