



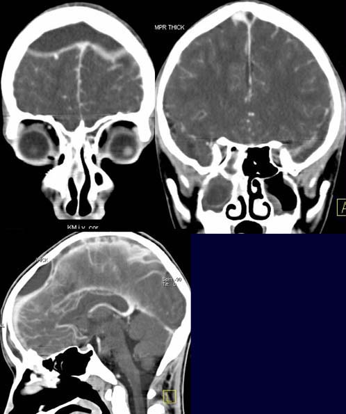
ANAMNESE
/ KLINIK:
Patient, 23 Jahre alt, mit seit Tagen stärker werden Kopfschmerzen,
wird somnolent eingeliefert.
BEFUND:
Epidurale und subdurale homogen hypodense Flüssigkeitsansammlungen mit
starkem randständigen Kontrastmittel-Enhancement.
In der sagittalen und coronaren MPR Kontrastmittelausspaarung im
Sinus sagittalis superior.
Schleimhautschwellung und Flüssigkeitsansammlung mit
Spiegelbildung in den Nasennebenhöhlen.
DIAGNOSE:
Epidural-
und Subduralempyem mit Sinus sagittalis Thrombose auf dem
Boden einer akuten und chronischen Pansinusitis




